Smile Gallery
-

-

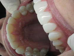
- Closing spaces with directly bonded resin. No cutting on these teeth.
-

-

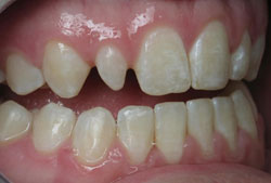
- Closing spaces with directly bonded resin. No cutting on these teeth.
-

-

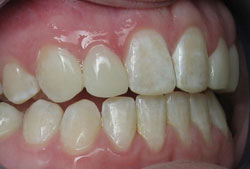
- Reshaping teeth with directly bonded resin. No cutting on these teeth.
-

-

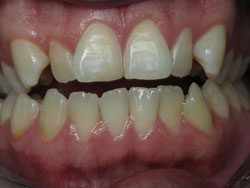
- Reshaping teeth with directly bonded resin. No cutting on these teeth.
-

-

- Reshaping teeth with directly bonded resin. No cutting on these teeth.
-

-

- Changing color of darker teeth to lighter shades using directly bonded resin.
-

-

- Directly veneered, directly bonded resin used to straighten teeth. No cutting on these teeth.
-

-

- Directly veneered, directly bonded resin used to straighten teeth. No cutting on these teeth.
-

-

- Porcelain veneers used to close spaced and used to reshape the smile line.
-

-

- Porcelain veneers used to straighten and reshape the smile line.
-

-

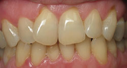
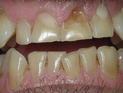
- A combination of porcelain veneers and full crowns used to correct the bite, reshape the teeth, and change their color.
-

-

- Porcelain veneers used to correct erosion and severe wear patterns in this patient's smile line.
-

-

- Porcelain veneers used to reshape this patient front teeth, enhancing alignment and surface texture.
-

-

- Full coverage porcelain crowns, correcting old porcelain crowns that are opaque, square with flat edges.These old crowns are completely non gender specific. This patient is female, therefore the softer edges.
-

-

- Porcelain crowns to correct a canine sitting next to the two front teeth and balance the right and left side of the smile line.
-

-

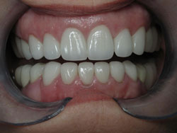
- Porcelain crowns correcting the upper and lower teeth.
-

-

- Porcelain crowns aligning this patient's smile line.
-

-

- Porcelain crowns, whitening this patient's teeth and enhancing the smile line.
-

-

- All porcelain bridge replacing the tooth at the gap that had to be removed. The excess space was distributed across the front teeth for a natural smile line.
New Patients Welcome
Call today to reserve your appointment and learn why families have trusted Dr. Scott with their dental care for over three decades. Our Louisville dental office serves Middletown, Prospect, Crestwood, and St. Matthews with high quality dental care.

